Cabinet des Drs Élisa Patrouix et Florent Tellouck 
Pratique exclusive de l'orthodontie
+33 5 56 81 45 74
10 d Cours de Luze, 33300 BORDEAUX
Cabinet des Drs Élisa Patrouix et Florent Tellouck 

10 d Cours de Luze
33300 BORDEAUX

Pratique exclusive de l'orthodontie

La réussite d'un traitement

Nettoyage des brackets avec brossette interdentaire

Nettoyage des brackets avec brossette interdentaire

L'hygiène en orthodontie

L'hygiène en orthodontie

Traitement orthodontique : les règles du succès

Traitement orthodontique : les règles du succès

Contention de Hawley

Contention de Hawley

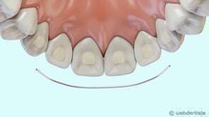
Fil de contention

Fil de contention

L’application dental monitoring®

L’application dental monitoring®

La solution DentalMonitoring® permet de suivre à distance l’évolution d’un traitement orthodontique avec une application personnalisée sur mobile.

Affichage des articles 1-6 sur 10

Création par Webdentiste

Connexion