Le dogme très répandu dans le grand public, d'attendre la fin de l'éruption des dents permanentes pour songer à aller voir un orthodontiste doit être banni
Blog
Dans la chaîne numérique, l’empreinte ne se fait plus à l’aide d’une pâte mais grâce à une caméra qui filme les surfaces dentaires.
La chirurgie orthognathique est une branche de l'orthodontie qui s'adresse aux patients pour lesquels il n'est plus possible d'agir sur la croissance maxillo-faciale.
Les mini vis sont un système d'ancrage permettant de minimiser les déplacement dentaires non désirés.
Pour certains patients, et plus particulièrement pour le patient adulte, le souci d’esthétique pendant le traitement est un élément majeur à prendre en compte.
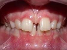
Dans le cadre d'un traitement orthodontique chez l'enfant, lorsque le frein de la lèvre supérieure empêche la fermeture spontanée d'un diastème inesthétique. La frénectomie peut être nécessaire.





