Cabinet dentaire Dr Élisa Partrouix et Dr Florent Tellouck 
Cabinet des Drs Elisa PATROUIX et Florent TELLOUCK
+33 5 56 81 45 74
10 d Cours de Luze, 33300 BORDEAUX
Cabinet des Drs Elisa PATROUIX et Florent TELLOUCK

10 d Cours de Luze
33300 BORDEAUX

Pratique exclusive de l'orthodontie

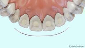
Fil de contention


video-play-icon

Articles similaires

Création par Webdentiste

Connexion